健康教育 首页 > 医院概况 > 健康教育
【呼吸与危重症医学科】体检发现肺结节,会“进化”成肺癌吗?要手术吗?关键看这几点
来源:佛山市第四人民医院 日期:2022-12-02



 
01
 
什么是肺结节?

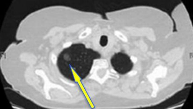
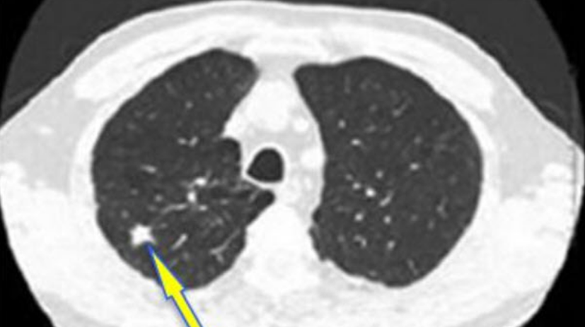
肺结节是指肺脏的组织内出现的病变,CT上是直径≤30mm的局灶性、类圆形、密度增高的实性或亚实性肺部阴影。肺结节就像是肺上长了个“小坨”或“小疤”,是一种客观的影像描述,并不是一种疾病的诊断,更不能代表就是肺癌。






● 常见的肺部病变症状有:

咳嗽、痰多、胸闷憋气、疼痛、发烧、咳血,包括肺癌。90%以上的肺结节是没有任何症状的,出现症状一般都是比较晚期了。临床上,可通过胸部CT检查来诊断。





● 根据结节的密度,可以分为:



实性结节

类似单独分离的鸡蛋黄。

 



纯磨玻璃结节

类似鸡蛋清,隐约可见其中的结构。

 


部分实性结节

也叫混合磨玻璃结节。它的结构如同一个荷包蛋,磨玻璃成分类似其中的蛋清,而实性且密度较高的部分则类似蛋黄。

 



● 根据结节的个头大小,可以分为:

直径 < 5mm:微小结节


直径 10-30mm:结节

直径 > 30mm:肿块



专家提醒:

微小结节和小结节大多只需要定期随访,不需要任何干预,随访的时间一般为半年到一年。





 
02
 
肺结节需要做手术吗?

肺结节分为良性、恶性两种。绝大多数情况都不用紧张,多个研究结果表明,在所有诊断为肺结节的患者中,只有不到5%的患者最终被证实为恶性(癌症),95%以上肺结节都是良性的。



● 良性结节

多数小而实,无分叶,边缘光滑、可能有尖角或纤维条索等,密度均匀。比如错构瘤、炎性肉芽肿、疤痕、淋巴结、炎性结节等。





● 恶性结节

普遍长得比较嚣张且颜值低:有分叶、毛刺,分界不清,供血丰富。


 
这种结节看起来就像个刺头,一点都不老实,模糊分界是因为想往正常肺组织里扩张捣乱又不想太高调,丰富的供血可以悄咪咪地吸收周围组织营养让自己迅速生长。



专家提醒:
 
不同密度、不同大小的肺结节恶性概率不一样,根据恶性程度排序:部分实性结节>纯磨玻璃结节>实性结节,但并不是绝对就有恶变的可能。



决定肺结节是否需要手术,需要根据结节的良恶性概率以及病变可能的病理阶段来判断。




 
03
 
发现肺结节怎么办?

如何进行定期随访?

肺结节不是肺癌,如果体检发现肺部有小结节,先不要担心,因为它不一定是癌。只要通过及时、恰当的治疗,是完全可以痊愈的。即使是癌,也不必恐慌,因为大多是极其早期的癌症,只要通过及时、恰当的治疗,是完全可以痊愈的。
 
根据最新的《肺结节诊治中国专家共识(2018年版)》中提示,小于8mm的肺结节听从医生医嘱进行定期常规随访就可以了,而大于8mm的才有必要重视,看是否需要进行外科手术。
 

绝大多数较小的肺结节都是良性病变,对于高风险的结节按照随访原则积极复查就好了,所以不必谈“结节”色变。

随访的意义在于可以及时发现肺结节变化,以便为后续的诊疗提供帮助。做肺结节随访最好固定同一家医院做,在相同的检查条件下,能够更准确观察到肺结节的动态变化情况,这样才更具有临床意义。



小贴士:何谓肺癌高危人群者

1. 长期抽烟人群,如果吸烟指数大于400,或曾吸烟指数大于400,但戒烟时间<15年;

   *吸烟指数是指患者每天的吸烟支数乘以吸烟年数

2. 慢性肺部疾病患者,如慢性支气管炎以及反复发作肺结核患者;

3. 长期接触粉尘的患者是肺癌的高危人群;

4. 具有肺癌家族史的患者是肺癌的高危人群;

5. 经常接触厨房油烟的患者;

6. 伴有反复咳嗽、干咳、咳血或胸痛等肺部症状的患者。





总而言之,

当体检报告上出现以下字眼要警惕:




▷ 结节边界不清,分叶、毛刺

▷ 结节大小≥8 mm

▷ 结节形态呈磨玻璃状(尤其是伴有实性成分的磨玻璃结节)

▷ 密度不均匀,实性成分高




 
04

发现肺结节的生活指导



1、戒烟,尽量减少二手烟和油烟的接触。有高危职业暴露史人员注意加强防护,定期复查。

2、空气不好的天气减少外出,外出时注意戴口罩加以防护。

3、注重饮食,可选用一些清肺润肺化痰解毒的食材,少吃肥甘油腻的食物,煎炸燥热、难消化的食物都尽量少吃,宜清淡饮食。

4、调整生活习惯,多运动,不熬夜,提高机体免疫力。

5、每天保持好心情,舒心畅气,维持良好的气血循环。







参考资料:

《肺结节诊治中国专家共识2018年版》

《中国肺部结节分类、诊断与治疗指南(2016年版)》



 


 

 

 

 
更多专家请关注我院微信公众号




来源:宣传科,部分图片来源:网络

编辑:蔡侨虹

审核:体检科、影像科